Questions歯科治療に関するQ&A

Q:コーヌスクローネの内冠、外冠のセット方法について教えてください
稲葉先生の『正統派コーヌスクローネ』を読ませていただくと、内冠、外冠同時にセットすると書いてありました。
どのようにセットするのが正しいのか、詳しくお聞かせいただけないでしょうか。
維持力を正確に出すことと、それが長く続く事が必要です。
そのため、内冠と外冠は精密にゼロフィッティングで適合させる必要があります。
正確にミリング、あるいは研磨機を用いて研磨された内冠で、直接外をワックスアップし、埋没剤の混水比により膨張率を調節し、ゼロフィッティングさせる事ができます。
したがって、内冠をセットしてからそれを印象し、模型上で外冠をワックスアップし、完成させるのは間違いです。
石膏模型は膨張しますから、できあがった外冠は膨張してしまい、維持力を失ってしまいます。一度維持力を失った外冠は、再度維持力を出す事はできませんので再生しなければなりません。
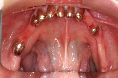
正しい装着の方法は、内冠上で制作した外冠は別々にセットするのではなく、最後に内冠と外冠、同時に装着して下さい。

内冠を先にセットしてから、外冠をセットすると、まず合いません!
気をつけてください。
試適して咬合調整まで行ったら、合着なのですが、手順として、
1.外冠の内側にたっぷりとワセリンもしくはココアバターを塗ります。
2.スピードが大切なので、衛生士としっかりと打ち合わせをし、どこからセットするか順番を決めます。
3.内冠に合着用セメントを入れ、セットしていきます。
4.セメントが固まらないうちに、外冠も一緒にはめ込み、セットします。
これでOKです。
今回は支台歯が多かったので、2回に分けてセットを行っても構いません。

常に、コーヌスクローネを装着したポジションをキープしながら、セットします。

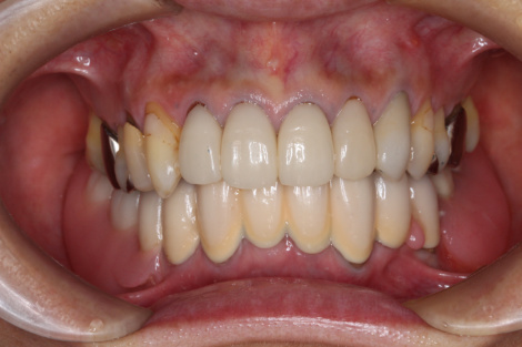
コーヌス角6度を付与したコーヌスクローネは、患者様が外すのが難しい場合があります。
そのような場合、指や爪が引っかかるところをつけて差し上げると良いと思います。
歯頸部もコナトアを使用しているため、ネガティブヴィンケル(アンダーカット)見えずに綺麗に処理してあります。
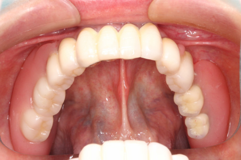
そうそう、試適時にもう一つ重要なチェックポイントがあります。
それは、ミラーを用いた舌側の内外冠の適合状態です。
術者は上から口腔内を直視するため、口唇側の歯頸部の確認はできるのですが、ミラーを使って、
舌側からのチェックも行っていただくことをお薦めします。
セットした後、コーヌスクローネは一層沈み込みを起こし、ゼロフィッティングしていきます。
当時稲葉先生が出版した
『正統派コーヌスクローネ』が冊子になりました!
他では入手することができない一冊、販売もしておりますので、ぜひお手に取って頂けたら幸いです。
IPSGとは
IPSG包括歯科医療研究会は、「医療には最善の方法が実行されるべきである」という稲葉繁先生の信念のもと、海外で学んだ確かな技術を日本の歯科医師に広めることを目的とした研究会です。
「顎関節症」「テレスコープシステム」「総義歯」「摂食嚥下」の4本の柱を軸に、診療姿勢から全顎治療までを基礎から応用まで学べるプログラムを提供しています。専用のセミナールームには最新の設備を完備し、実践的な研修が可能です。
開催予定のセミナー
| 開催日 | セミナー名 | 講師(予定) |
|---|---|---|
| 2026.8.1.SAT〜2026.8.2.SUN | ’26 8/1・2(土・日)顎関節症ライブ実習コース | 稲葉繁先生 岩田光司先生 |
Mail magazineIPSGの無料メールマガジン
歯科業界最新情報やセミナー案内を毎週月曜日に配信しています。
IPSGのメールマガジンでは、ドイツの歯科技術を中心に、歯科医療全体の向上に繋がる歯科業界最新情報、セミナー案内・レポートをお届けします。
咬合、顎関節症、総義歯など、幅広いテーマを取り上げ、あなたの診療に役立つ知識が満載です。











